Електронна пошта

info@creopharm.com.ua

Телефон

(044) 222-53-65

Корисна інформація

Метилтиониния хлорид в лечении пациентов с тяжелой формой COVID-19

Ученые из швейцарской ассоциации Gene Learning предложили иcпользовать для лечения пациентов с тяжелой формой COVID-19 уже существующие лекарства - фенилбутират и метиленовый синий. https://genelearning.ch/

Метиленовый синий (метилтиониния хлорид) – производное фенотиазина, относится к списку жизненно важных препаратов ВОЗ для лечения метгемолгобинемии (отравлениях цианидами, угарным газом). Похожий процесс разрушения гемоглобина (Hb) совсем недавно был обнаружен как осложнение коронавирусной инфекции.

Существует предположение, что вирус воздействует не на ткань легкого напрямую, а первично поражает Hb в эритроцитах, снижая его дыхательную функцию, что в сочетании с повреждающим действием продукта распада Hb, ионов железа, является основной причиной тяжелой гипоксемии и высокой летальности.

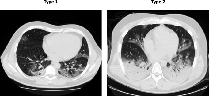
Описаны два принципиально разных варианта повреждения легких при COVID-19 по мнению Luciano Gattinoni и соавторов (Critical Care, апрель 2020).Подробнее

Первый тип с минимальным невентилируемым объемом легких (около 8% на снимке слева) и некритично сниженным комплаенсом выглядит как нарушение перфузии вызванное дисбалансом легочного кровотока и развивается у большинства пациентов. Второй тип, на снимке справа, это 20-30% пациентов, которые поступают с уменьшенным объемом легких (на данной картинке справа он меньше почти в двое), резко сниженным комплаенсом, характерным для тяжелого острого респираторного дистресс синдрома (ОРДС). Комплаенс легких и грудной стенки, способность к растяжению легких в ответ на давление является ключевым параметром в определении ОРДС, определяет прогноз и тактику ведения пациента. Именно по этой причине у таких пациентов в дополнение к пневмонии нередко наблюдается повреждение легких вызванное собственно ИВЛ. Таким образом, несколько игнорируя Берлинские критерии, авторы считают, что у 70-80% пациентов заболевание проходит без ОРДС, а тяжесть гипоксемия не соответствует механическим параметрам работы легких.

Аналогичного мнения придерживается доктор Hany Mahfouz. По его мнению COVID-19 не вызывает тяжелой вирусной пневмонии и острого респираторного дистресс синдрома (ОРДС), как первоначально предполагалось.

Существует гипотеза, что:

  • коронавирус способен повреждать Hb, приводя к потере иона железа;
  • Hb теряет способность связывать кислород, что может быть одной из причин стойкой гипоксии и быстрой развивающейся недостаточностью ряда органов;
  • наиболее близкой патологией является метгемоглобинемия, которую можно наблюдать при отравлении угарным газом, где Hb теряет способность переносить кислород;
  • железо, выделяемое в кровообращение, настолько токсично, что вызывает сильное окислительное повреждение легких (что объясняет двусторонние, которые могли ошибочно трактоваться как двусторонняя пневмония);
  • организм больного отвечает компенсаторным повышением скорости синтеза Hb, что объясняет, почему у этих пациентов высокий уровень Hb.и ферритина;
  • хлорохин может быть эффективен, поскольку противомалярийные препараты работают для защиты Hb от инвазии малярийными плазмодиями. Здесь он делает то же самое, но только защищая Hb от вирусной инвазии;
  • это также может объяснить почему высокие уровни ферритина и АЛС являются плохим прогностическим маркером.

В работе швейцарской ассоциации Gene Learning предложили иcпользовать для лечения пациентов с тяжелой формой COVID-19 на ряду с хлорохтном метиленовый синий - метилтиониния хлорид с детальным объяснением механизма его влияния на митохондриальное дыхание.

Авторы работы подчеркивают, это хорошо изученный препарат – доступный, проверенный и безопасный, давно применяются в клинической практике, не требуют проведения дополнительных испытаний.

В Украине метилтониний регистрирован как лекарство для внутривенного введения и как уроантисептик для БАД Пембина-Блю в составе комплекса экстрактов для лечения цистита. Препарат включен в локальные протоколы в дополнении к хлорохину. Клинические эффекты при COVID-19 сейчас активно изучаются в ряде стран (Китае, США, России) и в лечении дыхательной недостаточности при коронавирусной пневмонии и профилактике и даже для инкубации плазмы выздоровевших пациентов.

Дізнатися більше